天德瑞(北京)生物科技有限公司
中文版  |  English      
 

010-80117836
276385203@qq.com

 
内参蛋白抗体
标签蛋白抗体
荧光蛋白抗体
Epi-XAb™抗体
常用蛋白抗体
ImmunoWay组织病理学抗体
标记二抗
WB试剂
 
您现在的位置:网站首页 > 产品目录 > 常用蛋白抗体
CD21 Mouse mAb(2C5)
Complement C3d receptor antibody, Epstein Barr virus receptor antibody, C3DR antibody
 
Cat#: TDY083   |   Source: Mouse   |   Type: Monoclonal   |
Applications: IHC   Reactivity: H,M,R
MW.(KDa): 113 Isotype: IgG1

Applications:          WB-Western blot     IHC-Immunochemistry       IF-Immunofluorescence     IP-Immunoprecipitation     ChIP-Chormatin Immunoprecipitation

Reactivity:    H-Human  R-Rat  M-Mouse  Mk-Monkey  Dg-Dog  Ch-Chicken  Hm-Hamster  Rb-Rabbit  Sh-Sheep  Pg-Pig

 

CD21 also known as complement receptor 2 (CR2), C3d receptor or EBV receptor is a 140 kDa protein. CD21 is a glycosylated type I transmembrane protein consisting of an extracellular face of a series of 15 or 16 CCP domains. CD21 is the receptor for complement components C3d and iC3b as well as the Epstein-Barr virus (EBV) glycoprotein gp350/220. The soluble CD21 (sCD21) was shown to efficiently trigger CD23 signalling pathways in human monocytes. By inducing release of proinflammatory cytokines and upregulating expression of molecules involved in antigen presentation, sCD21 modulates critical monocyte functions that may be relevant to allergic and inflammatory disorders. 

 

Applications Specifications Alternative Names

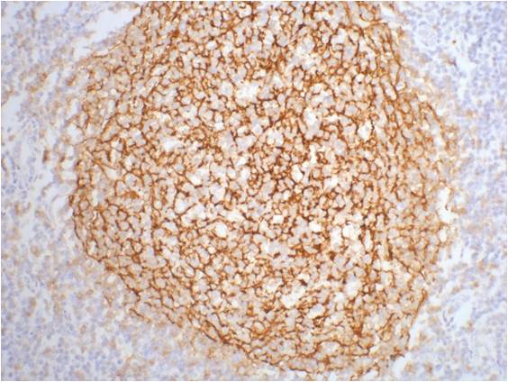
Immunohistochemistry

 

IHC staining of human tonsil tissue with CD21 mouse mAb(2C5) diluted at 1:200.


 

 

 
  Size:
TDY083C-50μL ¥1000
TDY083F-100μL ¥1800

  New Product:
ImmunoWay组织病理学抗体
 
地址:北京市昌平区科技园区振兴路36号院2号楼2层203    电话:010-80117836    邮编:102299
版权所有:天德瑞(北京)生物科技有限公司  备案号 :京ICP备2020039277号  京公网安备11011402000028号
enext loop adoRs.close end sub %>