天德瑞(北京)生物科技有限公司
中文版  |  English      
 

010-80117836
276385203@qq.com

 
内参蛋白抗体
标签蛋白抗体
荧光蛋白抗体
Epi-XAb™抗体
常用蛋白抗体
ImmunoWay组织病理学抗体
标记二抗
WB试剂
 
您现在的位置:网站首页 > 产品目录 > Epi-XAb™抗体
Histone H4(Acetyl Lys16) Rabbit pAb
Histone 1 H4 antibody, HIST1H4K antibody, MGC24116 antibody, dJ160A22.1 antibody
 
Cat#: TDY287   |   Source: Rabbit   |   Type: Polyclonal   |
Applications: WB, IHC   Reactivity: H, R, M
MW.(KDa): 14 Isotype: IgG

Applications:          WB-Western blot     IHC-Immunochemistry       IF-Immunofluorescence     IP-Immunoprecipitation     ChIP-Chormatin Immunoprecipitation

Reactivity:    H-Human  R-Rat  M-Mouse  Mk-Monkey  Dg-Dog  Ch-Chicken  Hm-Hamster  Rb-Rabbit  Sh-Sheep  Pg-Pig

 

Histone H4 is one of the 5 main histone proteins involved in the structure of chromatin in eukaryotic cells. H4 is a structural component of the nucleosome, and is subject to covalent modification, including acetylation and methylation, which may alter expression of genes located on DNA associated with its parent histone octamer. 

Applications Specifications Alternative Names

Western Blot

 

Western blot analysis of extracts from Hela cells, untreated (-) or treated with TSA (1μM, 18 hr; +), using Acetyl-Histone H4(Lys16) Rabbit pAb (upper) TDY287 1:2,000 and β-actin (5B7) Mouse mAb (lower) TDY041 1:5,000.

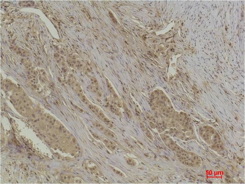
IHC

 

Immunohistochemical analysis of paraffin-embedded Human Breast Caricnoma using  Histone H4 (Acetyl Lys16)TDY287Rabbit pAb diluted at 1:500.

 
  Size:
TDY287C-50μL ¥1200
TDY287F-100μL ¥1200

  New Product:
ImmunoWay组织病理学抗体
 
地址:北京市昌平区科技园区振兴路36号院2号楼2层203    电话:010-80117836    邮编:102299
版权所有:天德瑞(北京)生物科技有限公司  备案号 :京ICP备2020039277号  京公网安备11011402000028号
enext loop adoRs.close end sub %>