010-80117836
276385203@qq.com |
| |
|
|
|
| PARP Mouse mAb(M3) |
| PARP-1, Poly(ADP ribose) polymerase 1, sPARP1,ADPRT1, ADP ribosyltransferase NAD(+) |
|
| |
| Cat#: TDY159 | Source: Mouse | Type: Monoclonal | |
 |
| Applications: WB, IHC |
|
Reactivity: H |
| MW.(KDa): 116 |
Isotype: IgG1 |
|
Applications: WB-Western blot IHC-Immunochemistry IF-Immunofluorescence IP-Immunoprecipitation ChIP-Chormatin Immunoprecipitation
Reactivity: H-Human R-Rat M-Mouse Mk-Monkey Dg-Dog Ch-Chicken Hm-Hamster Rb-Rabbit Sh-Sheep Pg-Pig
Poly [ADP-ribose] polymerase 1 (PARP-1) also known as NAD+ ADP-ribosyltransferase 1 or poly[ADP-ribose] synthase 1 is an enzyme that in humans is encoded by the PARP1 gene. PARP1 has a role in repair of single-stranded DNA (ssDNA) breaks. Knocking down intracellular PARP1 levels with siRNA or inhibiting PARP1 activity with small molecules reduces repair of ssDNA breaks. In the absence of PARP1, when these breaks are encountered during DNA replication, the replication fork stalls, and double-strand DNA (dsDNA) breaks accumulate. |
|
|
|
| Western Blot |
Western blot analysis of 1) Hela, 2) 293T, 3) Jurkat with TDY159 diluted at 1:2,000.
|
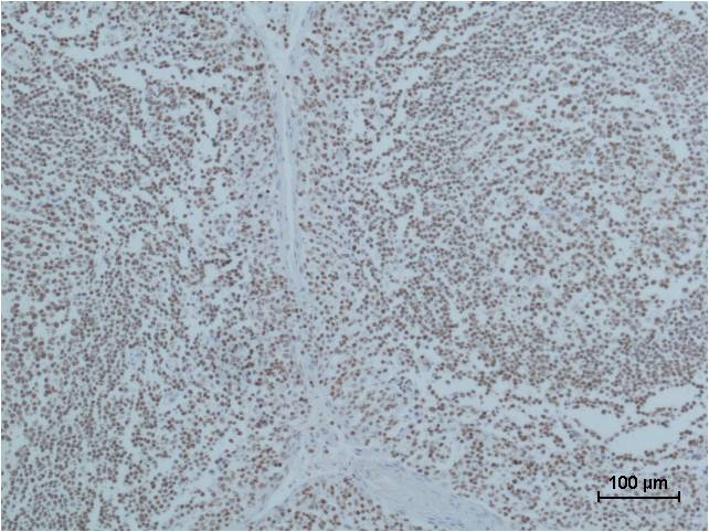
| IHC |
Immunohistochemical analysis of paraffin-embedded human Tonsil Tissue using PARP (TDY159)Mouse mAb diluted at 1:500.
|
|
|
| |
|
|
| Source |
Mouse monoclonal antibody is prepared by immunizing synthetic peptide coupled to KLH.
|
| Specificity |
The PARP antibody can recognize endogenous PARP proteins.
|
| Storage |
Store at -20°C. Stable for one year from the date of shipment.
|
| Concentration |
1mg/ml in PBS, pH 7.4, containing 0.02% sodium azide and 50% glycerol.
|
| Dilutions |
WB 1:1,000-3,000 IHC 1:200-500
(Optimal dilutions should be determined by the end user)
|
|
|
| |
|
PARP-1, Poly(ADP ribose) polymerase 1, sPARP1,ADPRT1, ADP ribosyltransferase NAD(+) |
| |
|
|
|
|
| Size: |
TDY159C-50μL ¥1000 TDY159F-100μL ¥1800 |
|
| New Product: |
|
|
|
|
| |
|