010-80117836
276385203@qq.com |
| |
|
|
|
| Cytokeratin 18 Mouse mAb(8F2) |
| Cell proliferation inducing gene 46 protein, CK 18, CYK 18, K 18, Keratin 18, Ketatin D, KRT18 |
|
| |
| Cat#: TDY124 | Source: Mouse | Type: Monoclonal | |
 |
| Applications: WB, IHC |
|
Reactivity: H, R, M |
| MW.(KDa): 46 |
Isotype: IgG1 |
|
Applications: WB-Western blot IHC-Immunochemistry IF-Immunofluorescence IP-Immunoprecipitation ChIP-Chormatin Immunoprecipitation
Reactivity: H-Human R-Rat M-Mouse Mk-Monkey Dg-Dog Ch-Chicken Hm-Hamster Rb-Rabbit Sh-Sheep Pg-Pig
Keratin 18 is a type I cytokeratin. It is, together with its filament partner keratin 8, perhaps the most commonly found products of the intermediate filament gene family. They are expressed in single layer epithelial tissues of the body. Mutations in this gene have been linked to cryptogenic cirrhosis. Two transcript variants encoding the same protein have been found for this gene.Keratin 18 is often used together with keratin 8 and keratin 19 to differentiate cells of epithelial origin from hematopoietic cells in tests that enumerate circulating tumor cells in blood.
|
|
|
|
| Western Blot |
Western blot analysis of 1) HepG2, 2) Hela, 3) Mouse Liver tissue, 4) C2C12, 5) Rat Heart tissue, 6) Mouse Skeletal Muscle tissue with Cytokeratin 18 Mouse MAb (8F2) diluted at 1:2000.
|
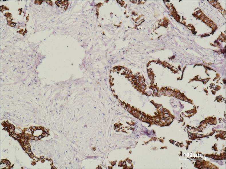
| IHC |
Immunohistochemical analysis of paraffin-embedded human breast caricnoma using Cytokeratin 18 (TDY124)Mouse mAb diluted at 1:500.
|
|
|
| |
|
|
| Source |
Mouse monoclonal antibody is prepared by immunizing recombinant protein.
|
| Specificity |
The Cytokeratin 18 mouse monoclonal antibody can recognize endogenous Cytokeratin 18 proteins.
|
| Storage |
Store at -20°C. Stable for one year from the date of shipment.
|
| Concentration |
1mg/ml in PBS, pH 7.4, containing 0.02% sodium azide and 50% glycerol.
|
| Dilutions |
WB 1:1,000-3,000 IHC 1:200-500
(Optimal dilutions should be determined by the end user)
|
|
|
| |
|
Cell proliferation inducing gene 46 protein, CK 18, CYK 18, K 18, Keratin 18, Ketatin D, KRT18 |
| |
|
|
|
|
| Size: |
TDY124C-50μL ¥1000 TDY124F-100μL ¥1800 |
|
| New Product: |
|
|
|
|
| |
|