010-80117836
276385203@qq.com |
| |
|
|
|
| CK8 Mouse mAb(8G8) |
| Cytokeratin 8 antibody, Keratin type ii cytoskeletal 8 antibody, Cardiac autoantigen 2 120kD antibody |
|
| |
| Cat#: TDY078 | Source: Mouse | Type: Monoclonal | |
 |
| Applications: WB, IHC |
|
Reactivity: H,M,R |
| MW.(KDa): 54 |
Isotype: IgG1 |
|
Applications: WB-Western blot IHC-Immunochemistry IF-Immunofluorescence IP-Immunoprecipitation ChIP-Chormatin Immunoprecipitation
Reactivity: H-Human R-Rat M-Mouse Mk-Monkey Dg-Dog Ch-Chicken Hm-Hamster Rb-Rabbit Sh-Sheep Pg-Pig
Cytokeratin 8 belongs to the type B (basic) subfamily of high molecular weight keratins and exists in combination with cytokeratin 18. Cytokeratin 8 is primarily found in the non squamous epithelia and is present in majority of adenocarcinomas and ductal carcinomas. It is absent in squamous cell carcinomas.
|
|
|
|
| Western Blot |
Western blot analysis of 1) Hela, 2)Mouse Brain with CK8 mAb diluted at 1:4,000.
|
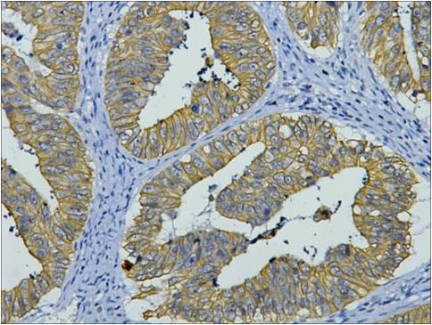
| Immunohistochemistry |
IHC staining of human colon cancer tissue with CK8 mouse mAb(8G8) diluted at 1:200.
|
|
|
| |
|
|
| Source |
Mouse monoclonal antibody is prepared by immunizing synthetic peptide coupled to KLH.
|
| Specificity |
The CK8 mouse monoclonal antibody can detect endogenous CK8 proteins.
|
| Storage |
Store at -20°C. Stable for one year from the date of shipment.
|
| Concentration |
1mg/ml in PBS, pH 7.4, containing 0.02% sodium azide and 50% glycerol.
|
| Dilutions |
WB 1:2,000-5,000 IHC 1:200
(Optimal dilutions should be determined by the end user)
|
|
|
| |
|
Cytokeratin 8 antibody, Keratin type ii cytoskeletal 8 antibody, Cardiac autoantigen 2 120kD antibody |
| |
|
|
|
|
| Size: |
TDY078C-50μL ¥1000 TDY078F-100μL ¥1800 |
|
| New Product: |
|
|
|
|
| |
|