010-80117836
276385203@qq.com |
| |
|
|
|
| Cytokeratin 4 (ABT-CK4) mouse mAb |
| KRT4,CYK4,Keratin-4,type II cytoskeletal 4 |
|
| |
| Cat#: YM6038 | Source: Mouse | Type: Monoclonal | |
 |
| Applications: IHC-P |
|
Reactivity: H |
| MW.(KDa): |
Isotype: IgG1 |
|
|
|
|
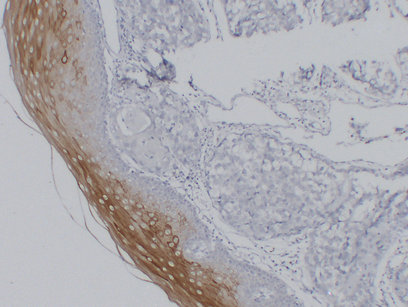
| IHC |
Immunohistochemical analysis of paraffin-embedded Esophageal squamous carcinoma. 1, Antibody was diluted at 1:200(4°,overnight). 2, Citric acid ,pH6.0 was used for antigen retrieval. 3,Secondary antibody was diluted at 1:200(room temperature, 30min).
|
|
|
| |
|
|
| Source |
Mouse monoclonal antibody is prepared by immunizing synthetic peptide coupled to KLH.
|
| Specificity |
This antibody detects endogenous levels of Actin, muscle specific.
|
| Storage |
Store at -20°C. Stable for one year from the date of shipment.
|
| Concentration |
Liquid in PBS containing 50% glycerol, 0.5% BSA and 0.02% sodium azide.
|
| Dilutions |
IHC-p 1:200-500
(Optimal dilutions should be determined by the end user)
|
|
|
| |
|
KRT4,CYK4,Keratin-4,type II cytoskeletal 4 |
| |
|
|
|
|
| Size: |
YM6038-1mg ¥18200
|
|
| New Product: |
|
|
|
|
| |
|