| Cat#: YM6374 | Source: Mouse | Type: Monoclonal | |
 |
| Applications: IHC-P WB |
|
Reactivity: H |
| MW.(KDa): |
Isotype: IgG1 |
|
|
|
|
| IHC |
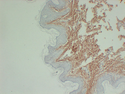
Immunohistochemical analysis of paraffin-embedded Skin. 1, Antibody was diluted at 1:200(4°,overnight). 2, Citric acid ,pH6.0 was used for antigen retrieval. 3,Secondary antibody was diluted at 1:200(room temperature, 30min).
|
| IHC |

Immunohistochemical analysis of paraffin-embedded Skin. 1, Antibody was diluted at 1:200(4°,overnight). 2, Citric acid ,pH6.0 was used for antigen retrieval. 3,Secondary antibody was diluted at 1:200(room temperature, 30min).
|
| IHC |

Immunohistochemical analysis of paraffin-embedded Skin. 1, Antibody was diluted at 1:200(4°,overnight). 2, Citric acid ,pH6.0 was used for antigen retrieval. 3,Secondary antibody was diluted at 1:200(room temperature, 30min).
|
|
|
| |
|
|
| Source |
Mouse monoclonal antibody is prepared by immunizing synthetic peptide coupled to KLH.
|
| Specificity |
This antibody detects endogenous levels of human Collagen Type III.
|
| Storage |
Store at -20°C. Stable for one year from the date of shipment.
|
| Concentration |
Liquid in PBS containing 50% glycerol, 0.5% BSA and 0.02% sodium azide.
|
| Dilutions |
IHC-p 1:200-500 WB 1:1,000-2,000
(Optimal dilutions should be determined by the end user)
|
|
|
| |
|
|
|
|
| Size: |
YM6374-1mg ¥18200
|
|
| New Product: |
|
|
|