| 
      
        | 010-80117836276385203@qq.com
 |  
        |  |  |  | 
      
        |  |  
        | 
            
              | β-Catenin Mouse mAb(4F2) |  
              | beta catenin, b-catenin, CTNB1, CTNNB1, FLJ25606, OTTHUMP00000162082 |  |  
        |  |  
        
          | 
          
            | 
                  
                    | 
                        
                        
                        
                          | 
                
                  | Cat#: TDY379   |   Source: Mouse   |   Type: Monoclonal   | |  |  
                  | 
                      
                        | Applications: WB, IHC |  | Reactivity: H, R, M |  
                        | MW.(KDa): 92 | Isotype: IgG1 |  |  
                  
                    | Applications:          WB-Western blot     IHC-Immunochemistry       IF-Immunofluorescence     IP-Immunoprecipitation     ChIP-Chormatin Immunoprecipitation Reactivity:    H-Human R-Rat M-Mouse Mk-Monkey Dg-Dog Ch-Chicken Hm-Hamster Rb-Rabbit Sh-Sheep Pg-Pig   The distinct peripheral cytosolic proteins, alpha, beta and gamma catenin (102, 94 and 86 kDa) are found in many tissues and bind to the conserved cytoplasmic tail domain of the cell adhesion cadherins. Catenins link E cadherin to other integral membrane or cytoplasmic proteins and are modulated by Wnt1 proto oncogene. The central core region of beta catenin is involved in mediation of cadherin catenin complex interaction with EGFR. Beta-Catenin-mediated signalling is involved at several stages of vertebrate neural development. |  
            
              |  |  
              | 
    
        
            | 
             
                
                    
                        | Western Blot |   Western blot analysis of 1) Hela, 2) 293T, 3)Mouse Liver Tissue, 4) Rat Liver Tissue, with β-Catenin Mouse mAb TDY379 diluted at 1:2,000. |  
                
                    
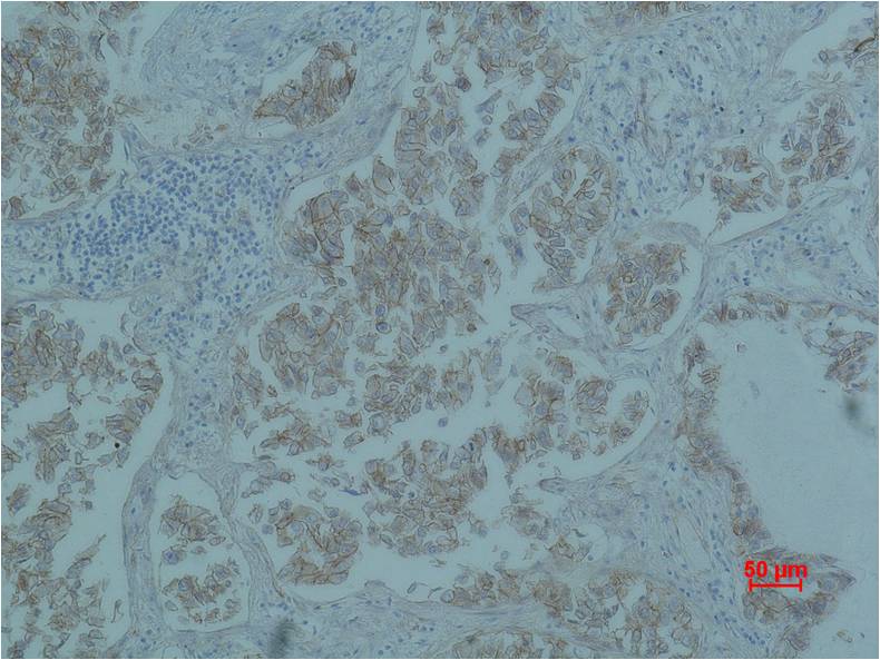
                        | IHC |  
 Immunohistochemical analysis of paraffin-embedded Human Lung caricnoma using β-Catenin (TDY379)Mouse mAb diluted at 1:500. |  |    |  
              |  |  
                                
                                  |  |  
                                  | 
    
        
            | 
             
                
                    
                        | Source | A Mouse Monoclonal antibody is prepared by immunizing recombinant protein. |  
 
                
                    
                        | Specificity | The β-Catenin Mouse Monoclonal antibody can recognize endogenous β-Catenin proteins. |  
 
                
                    
                        | Storage | Store at -20°C. Stable for one year from the date of shipment.  |  
 
                
                    
                        | Concentration | 1mg/ml in PBS, pH 7.4, containing 0.02% sodium azide and 50% glycerol. |  
 
 
                
                    
                        | Dilutions | WB 1:1,000-2,000   IHC 1:200-500 (Optimal dilutions should be determined by the end user) |    |    |  
                                  |  |  
                                
                                  |  |  
                                  | beta catenin, b-catenin, CTNB1, CTNNB1, FLJ25606, OTTHUMP00000162082 |  
                                  |  |  |  |  |  | 
                
                  | Size: |  
                  | TDY379C-50μL ¥1000 TDY379F-100μL ¥1800
 |  
                  | 
 |  
                  | New Product: |  
                  |  |  |  |  
          |  |  |