010-80117836
276385203@qq.com |
| |
|
|
|
| E-Cadherin Rabbit pAb |
| CDH-1, Cadherin 1, ECAD, UVO, epithelial calcium dependant adhesion protein, LCAM, CD 234, CD324 |
|
| |
| Cat#: TDY329 | Source: Rabbit | Type: Polyclonal | |
 |
| Applications: WB, IHC |
|
Reactivity: H |
| MW.(KDa): 135 |
Isotype: IgG |
|
Applications: WB-Western blot IHC-Immunochemistry IF-Immunofluorescence IP-Immunoprecipitation ChIP-Chormatin Immunoprecipitation
Reactivity: H-Human R-Rat M-Mouse Mk-Monkey Dg-Dog Ch-Chicken Hm-Hamster Rb-Rabbit Sh-Sheep Pg-Pig
E-Cadherin is a calcium-dependent cell-cell adhesion glycoprotein composed of five extracellular cadherin repeats, a transmembrane region, and a highly conserved cytoplasmic tail. |
|
|
| Western Blot |
Western blot analysis of Hela, with E-Cadherin Rabbit pAb TDY329 diluted at 1:2,000.
|
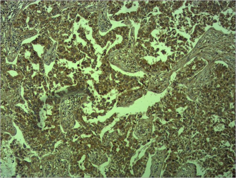
| IHC |
Immunohistochemical analysis of paraffin-embedded human Lung caricnoma using E-Cadherin(TDY329)Rabbit pAb diluted at 1:500.
|
|
| |
|
|
| Source |
A Rabbit Polyclonal antibody is prepared by immunizing recombinant protein.
|
| Specificity |
The E-Cadherin Rabbit Polyclonal antibody can detect endogenous E-Cadherin proteins.
|
| Storage |
Store at -20°C. Stable for one year from the date of shipment.
|
| Concentration |
Immunogen Affinity Purified Rabbit IgG, 1mg/ml in PBS pH7.4, containing 0.02% sodium azide and 50% glycerol.
|
| Dilutions |
WB 1:1,000 IHC 1:500-1,000
(Optimal dilutions should be determined by the end user)
|
|
|
| |
|
CDH-1, Cadherin 1, ECAD, UVO, epithelial calcium dependant adhesion protein, LCAM, CD 234, CD324 |
| |
|
|
|
|
| Size: |
TDY329C-50μL ¥1000 TDY329F-100μL ¥1800 |
|
| New Product: |
|
|
|
|
| |
|