010-80117836
276385203@qq.com |
|
|
|
|
Histone H3(Tri Methyl Lys4) Rabbit pAb |
H3 histone antibody, HIST1H3A antibody, Histone cluster 1, H3a antibody |
|
|
Cat#: TDY290 | Source: Rabbit | Type: Polyclonal | |
 |
Applications: WB, IHC |
|
Reactivity: H, R, M |
MW.(KDa): 15-17 |
Isotype: IgG |
|
Applications: WB-Western blot IHC-Immunochemistry IF-Immunofluorescence IP-Immunoprecipitation ChIP-Chormatin Immunoprecipitation
Reactivity: H-Human R-Rat M-Mouse Mk-Monkey Dg-Dog Ch-Chicken Hm-Hamster Rb-Rabbit Sh-Sheep Pg-Pig
Histone H3 is one of the five main histone proteins involved in the structure of chromatin in eukaryotic cells. Core component of nucleosome. Nucleosomes wrap and compact DNA into chromatin, limiting DNA accessibility to the cellular machineries which require DNA as a template. Histones thereby play a central role in transcription regulation, DNA repair, DNA replication and chromosomal stability. |
|
Western Blot |
Western blot analysis of 1) Hela, 2)3T3 , 3) Raw264.7, with Histone H3 (Tri Methyl Lys4) Rabbit pAb TDY290 diluted at 1:2,000.
|
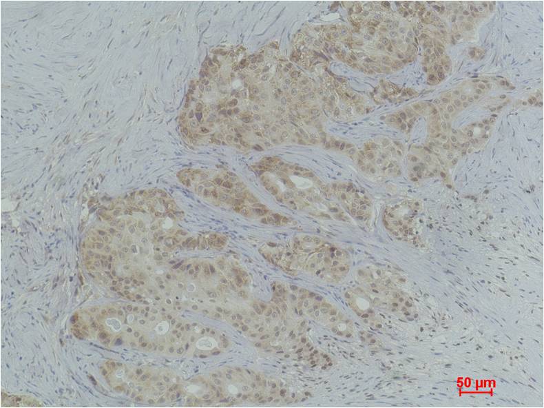
IHC |
Immunohistochemical analysis of paraffin-embedded Human Breast Caricnoma using Histone H3 (Tri Methyl Lys4)(TDY290)Rabbit pAb diluted at 1:200.
|
|
|
|
Source |
A Rabbit Polyclonal antibody is prepared by immunizing synthetic peptide coupled to KLH.
|
Specificity |
The Histone H3(Tri Methyl Lys4) Rabbit Polyclonal antibody can detect endogenous Histone H3(Tri Methyl Lys4) proteins.
|
Storage |
Store at -20°C. Stable for one year from the date of shipment.
|
Concentration |
Immunogen Affinity Purified Rabbit IgG, 1mg/ml in PBS pH7.4, containing 0.02% sodium azide and 50% glycerol.
|
Dilutions |
WB 1:500-1,000 IHC 1:100-200
(Optimal dilutions should be determined by the end user)
|
|
|
|
|
H3 histone antibody, HIST1H3A antibody, Histone cluster 1, H3a antibody |
|
|
|
|
|
Size: |
TDY290C-50μL ¥1200 TDY290F-100μL ¥2200 |
|
New Product: |
|
|
|
|
|