| Cat#: TM4252 | Source#: Mouse | Type#: Monoclonal | |
 |
| Applications: WB,IF,ELISA |
|
Reactivity: H,M,R |
| MW.(KDa): 68 |
Isotype: IgG |
|
| lamin B1(LMNB1) Homo sapiens This gene encodes one of the two B-type lamin proteins and is a component of the nuclear lamina. A duplication of this gene is associated with autosomal dominant adult-onset leukodystrophy (ADLD). Alternative splicing results in multiple transcript variants |
|
|
| Western Blot |

Various whole cell lysates were separated by 4-20% SDS-PAGE, and the membrane was blotted with anti-Lamin B1 antibody.
|
| IF |

Immunofluorescence analysis of Hela cell.
|
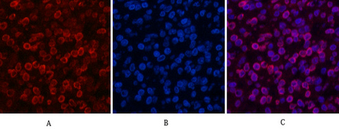
| IF |

Immuno?uorescence analysis of Human-lung-cancer tissue. 1,Lamin B1 Monoclonal Antibody(red) . 2, Cy3 labled Secondary antibody .3, Picture A:Target. Picture B: DAPI. Picture C: merge of A+B
|
|
| |
|
|
| Specificity |
This antibody detects endogenous levels of Lamin B1 protein. |
| Storage |
Store at -20°C. Stable for one year from the date of shipment. |
| Concentration |
1mg/ml in PBS, pH 7.4, containing 0.02% sodium azide and 50% glycerol. |
| Dilutions |
WB 1:500-2,000; IF 1:100-500; ELISA 1:1,000-5,000
(Optimal dilutions should be determined by the end user)
|
|
| |
|
| LMNB1 ; LMN2 ; LMNB ; Lamin-B1 |
| |
|
|
|
|
| Size: |
50μL ¥1000 100μL ¥1800 |
|
| New Product: |
|
|
|
| 直接下单: |
|
立即下单
|
|