| Cat#: TR8075 | Source#: Rabbit | Type#: Monoclonal | |
 |
| Applications: WB,IHC-P,IF-P,IF-F,IF-ICC,IP,ELISA |
|
Reactivity: Human,Mouse,Rat |
| MW.(KDa): 69kDa |
Isotype: IgG, Kappa |
|
| DEAD box proteins, characterized by the conserved motif Asp-Glu-Ala-Asp (DEAD), are putative RNA helicases. They are implicated in a number of cellular processes involving alteration of RNA secondary structure, such as translation initiation, nuclear and mitochondrial splicing, and ribosome and spliceosome assembly. Based on their distribution patterns, some members of this family are believed to be involved in embryogenesis, spermatogenesis, and cellular growth and division. This gene encodes a DEAD box protein, which is a RNA-dependent ATPase, and also a proliferation-associated nuclear antigen, specifically reacting with the simian virus 40 tumor antigen. Alternative splicing results in multiple transcript variants. [provided by RefSeq, Feb 2016], |
|
|
| Western Blot |

Western blot analysis of lysates from Hela cells, using DDX5 Rabbit mAb. The HRP-conjugated Goat anti-Rabbit IgG antibody was used to detect the antibody.
|
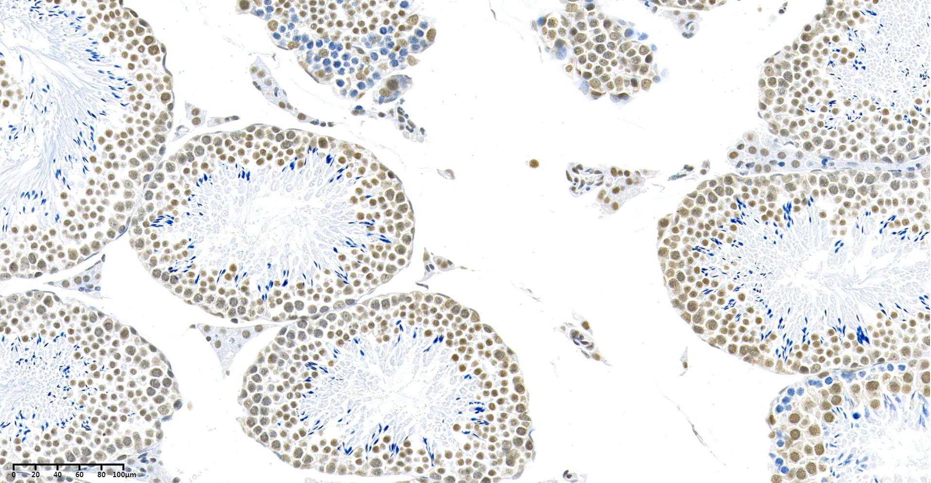
| Immunohistochemistry |

Mouse_testicles
|
|
| |
|
|
| Storage |
Store at -20°C. Stable for one year from the date of shipment. |
| Concentration |
1mg/ml in PBS, pH 7.4, containing 0.02% sodium azide and 50% glycerol. |
| Dilutions |
IHC-P 1:1000-1:5000, WB 1:1000-1:5000, IF-P/IF-F/IF-ICC 1:200-1:1000, ELISA 1:5000-1:20000, IP 1:50-1:200
(Optimal dilutions should be determined by the end user)
|
|
| |
|
| DDX5;G17P1;HELR;HLR1;Probable ATP-dependent RNA helicase DDX5;DEAD box protein 5;RNA helicase p68 |
| |
|
|
|
|
| Size: |
50μL ¥1300 100μL ¥2300 |
|
| New Product: |
|
|
|
| 直接下单: |
|
立即下单
|
|