010-80117836
276385203@qq.com |
| |
|
|
|
| CD45 Rabbit Monoclonal Antibody |
📄 生成PDF
|
| B220;CD 45;CD45;CD45 antigen;CD45R;GP180;L-CA;LCA;Leukocyte common antigen;loc;Ly-5;LY5;Ly5, homolog of;Lyt-4;OTTHUMP0 |
|
| |
| Cat#: TR8072 | Source#: Rabbit | Type#: Monoclonal | |
 |
| Applications: WB,IHC-P,IF-P,IF-F,IF-ICC,ELISA |
|
Reactivity: Human |
| MW.(KDa): 240-200kDa |
Isotype: IgG, Kappa |
|
| The protein encoded by this gene is a member of the protein tyrosine phosphatase (PTP) family. PTPs are known to be signaling molecules that regulate a variety of cellular processes including cell growth, differentiation, mitosis, and oncogenic transformation. This PTP contains an extracellular domain, a single transmembrane segment and two tandem intracytoplasmic catalytic domains, and thus is classified as a receptor type PTP. This PTP has been shown to be an essential regulator of T- and B-cell antigen receptor signaling. It functions through either direct interaction with components of the antigen receptor complexes, or by activating various Src family kinases required for the antigen receptor signaling. This PTP also suppresses JAK kinases, and thus functions as a regulator of cytokine receptor signaling. Alternatively spliced transcripts variants of this gene, which enc |
|
|
| Western Blot |

Western blot analysis of lysates from Jurkat cells, using CD45 Rabbit mAb. The HRP-conjugated Goat anti-Rabbit IgG antibody was used to detect the antibody.
|
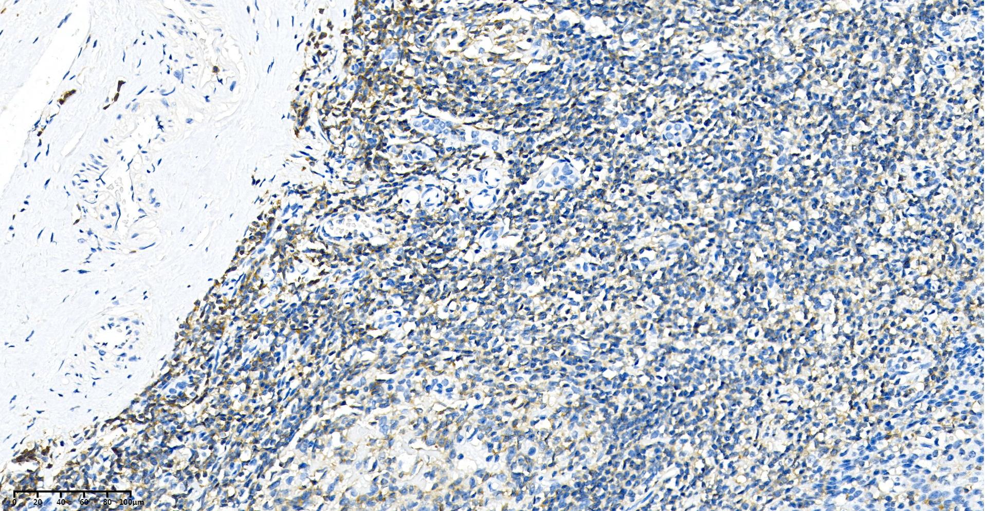
| Immunohistochemistry |

Human_tonsils
|
|
| |
|
|
| Storage |
Store at -20°C. Stable for one year from the date of shipment. |
| Concentration |
1mg/ml in PBS, pH 7.4, containing 0.02% sodium azide and 50% glycerol. |
| Dilutions |
IHC-P 1:1000-1:10000, WB 1:1000-1:5000, IF-P/IF-F/IF-ICC 1:200-1:1000, ELISA 1:5000-1:20000
(Optimal dilutions should be determined by the end user)
|
|
| |
|
| B220;CD 45;CD45;CD45 antigen;CD45R;GP180;L-CA;LCA;Leukocyte common antigen;loc;Ly-5;LY5;Ly5, homolog of;Lyt-4;OTTHUMP00000033813;OTTHUMP00000033816;OTTHUMP00000033817;OTTHUMP00000038574;Protein tyrosine phosphatase receptor type c polypeptide;Protein tyro |
| |
|
|
|
|
| Size: |
50μL ¥1300 100μL ¥2300 |
|
| New Product: |
|
|
|
| 直接下单: |
|
立即下单
|
|
|
| |
|