| Cat#: TR8034 | Source#: Rabbit | Type#: Monoclonal | |
 |
| Applications: WB,IHC-P,IF-P,IF-F,IF-ICC,ELISA |
|
Reactivity: Human,Mouse,Rat |
| MW.(KDa): 60-70kDa |
Isotype: IgG, Kappa |
|
| kelch like ECH associated protein 1(KEAP1) Homo sapiens This gene encodes a protein containing KELCH-1 like domains, as well as a BTB/POZ domain. Kelch-like ECH-associated protein 1 interacts with NF-E2-related factor 2 in a redox-sensitive manner and the dissociation of the proteins in the cytoplasm is followed by transportation of NF-E2-related factor 2 to the nucleus. This interaction results in the expression of the catalytic subunit of gamma-glutamylcysteine synthetase. Two alternatively spliced transcript variants encoding the same isoform have been found for this gene. [provided by RefSeq, Jul 2008], |
|
|
| Western Blot |

Western blot analysis of lysates from HEK293 cells, using Keap1 Rabbit mAb. The HRP-conjugated Goat anti-Rabbit IgG antibody was used to detect the antibody.
|
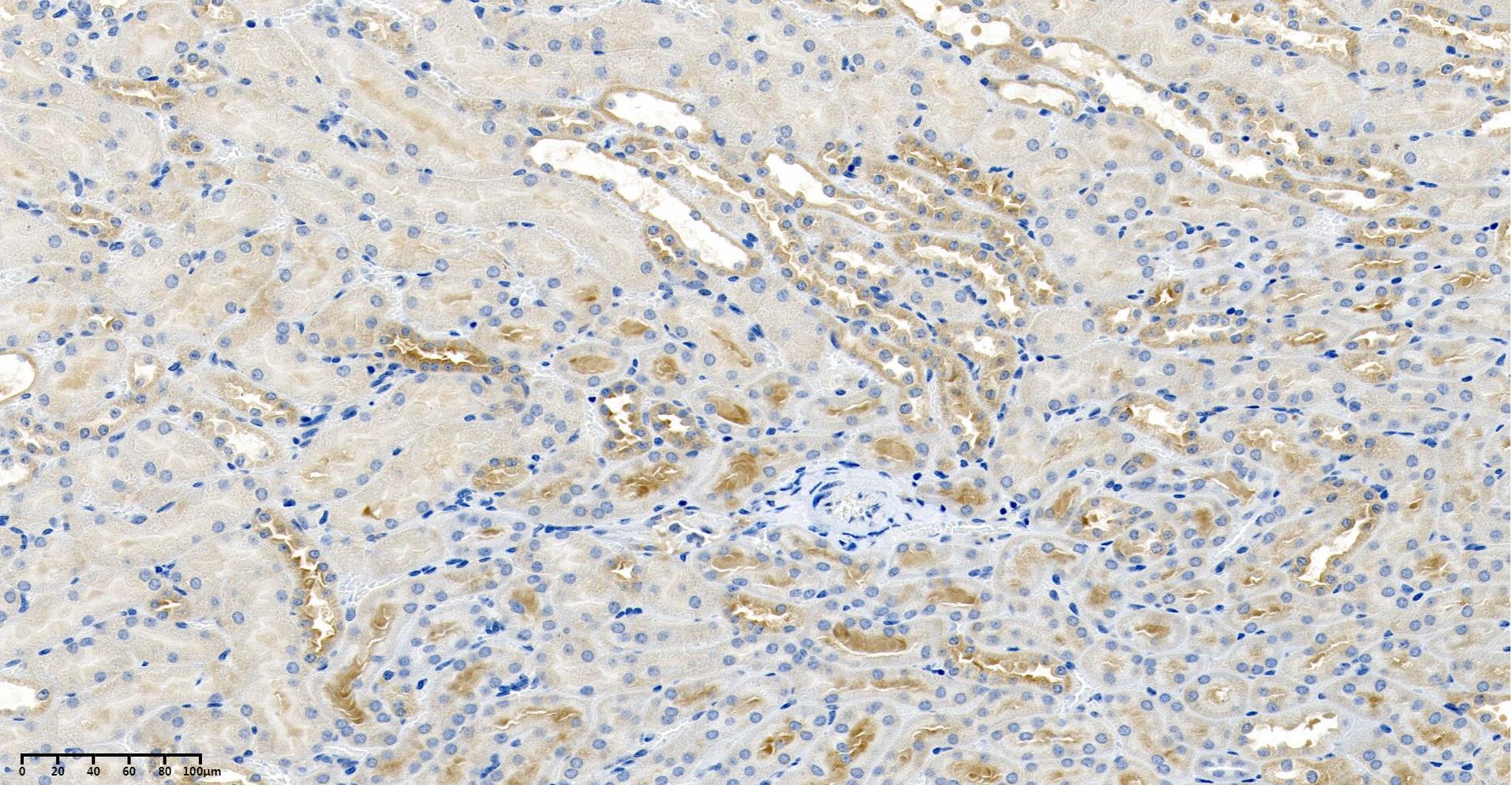
| Immunohistochemistry |

Mouse_kidney
|
|
| |
|
|
| Storage |
Store at -20°C. Stable for one year from the date of shipment. |
| Concentration |
1mg/ml in PBS, pH 7.4, containing 0.02% sodium azide and 50% glycerol. |
| Dilutions |
IHC-P 1:200-1:1000, WB 1:2000-1:10000, IF-P/IF-F/IF-ICC 1:200-1:1000, ELISA 1:5000-1:20000
(Optimal dilutions should be determined by the end user)
|
|
| |
|
| Kelch-like ECH-associated protein 1 (Cytosolic inhibitor of Nrf2) (INrf2) (Kelch-like protein 19);INRF2;KIAA0132;KLHL19 |
| |
|
|
|
|
| Size: |
50μL ¥1300 100μL ¥2300 |
|
| New Product: |
|
|
|
| 直接下单: |
|
立即下单
|
|