| Cat#: TR8023 | Source#: Rabbit | Type#: Monoclonal | |
 |
| Applications: WB,IHC-P,IF-P,IF-F,IF-ICC,ELISA |
|
Reactivity: Human,Mouse,Rat |
| MW.(KDa): 80kDa |
Isotype: IgG, Kappa |
|
| This gene encodes a protein that is a member of the SUMO (small ubiquitin-like modifier) protein family. It functions in a manner similar to ubiquitin in that it is bound to target proteins as part of a post-translational modification system. However, unlike ubiquitin which targets proteins for degradation, this protein is involved in a variety of cellular processes, such as nuclear transport, transcriptional regulation, apoptosis, and protein stability. It is not active until the last four amino acids of the carboxy-terminus have been cleaved off. Several pseudogenes have been reported for this gene. Alternate transcriptional splice variants encoding different isoforms have been characterized. [provided by RefSeq, Jul 2008], |
|
|
| Western Blot |

Western blot analysis of lysates from Jurkat cells, using Sumo 1 Rabbit mAb. The HRP-conjugated Goat anti-Rabbit IgG antibody was used to detect the antibody.
|
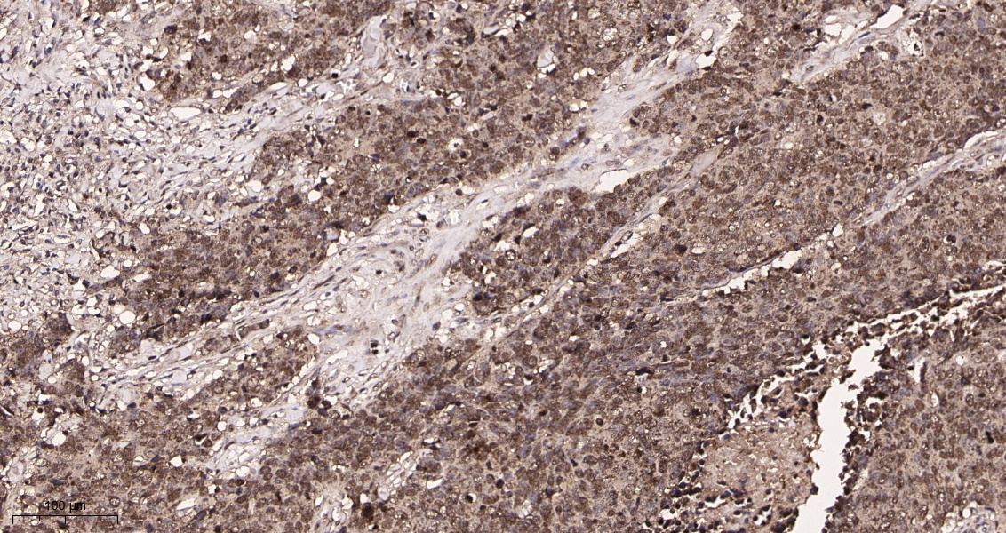
| Immunohistochemistry |

Immunohistochemical analysis of paraffin-embedded Human lung carcinoma tissue. 1, primary Antibody was diluted at 1:200(4℃,overnight). 2, EDTA pH 9.0 was used for antibody retrieval(>98℃,20min). 3,Secondary antibody was diluted at 1:200(room tempeRature, 30min).
|
|
| |
|
|
| Storage |
Store at -20°C. Stable for one year from the date of shipment. |
| Concentration |
1mg/ml in PBS, pH 7.4, containing 0.02% sodium azide and 50% glycerol. |
| Dilutions |
IHC-P 1:2000-1:10000, WB 1:2000-1:10000, IF-P/IF-F/IF-ICC 1:200-1:1000, ELISA 1:5000-1:20000
(Optimal dilutions should be determined by the end user)
|
|
| |
|
| SUMO1;SMT3C;SMT3H3;UBL1;OK/SW-cl.43;Small ubiquitin-related modifier 1;SUMO-1;GAP-modifying protein 1;GMP1;SMT3 homolog 3;Sentrin;Ubiquitin-homology domain protein PIC1;Ubiquitin-like protein SMT3C;Smt3C;Ubiquitin-like protein |
| |
|
|
|
|
| Size: |
50μL ¥1300 100μL ¥2300 |
|
| New Product: |
|
|
|
| 直接下单: |
|
立即下单
|
|