| Cat#: TR8017 | Source#: Rabbit | Type#: Monoclonal | |
 |
| Applications: WB,IHC-P,IF-P,IF-F,IF-ICC,ELISA |
|
Reactivity: Human,Mouse,Rat |
| MW.(KDa): 115-125kDa |
Isotype: IgG, Kappa |
|
| Integrins are heterodimeric proteins made up of alpha and beta subunits. At least 18 alpha and 8 beta subunits have been described in mammals. Integrin family members are membrane receptors involved in cell adhesion and recognition in a variety of processes including embryogenesis, hemostasis, tissue repair, immune response and metastatic diffusion of tumor cells. This gene encodes a beta subunit. Multiple alternatively spliced transcript variants which encode different protein isoforms have been found for this gene. [provided by RefSeq, Jul 2008], |
|
|
| Western Blot |

Western blot analysis of lysates from 3T3-L1 cells, using Integrin β1 Rabbit mAb. The HRP-conjugated Goat anti-Rabbit IgG antibody was used to detect the antibody.
|
| Immunohistochemistry |

Mouse_stomach
|
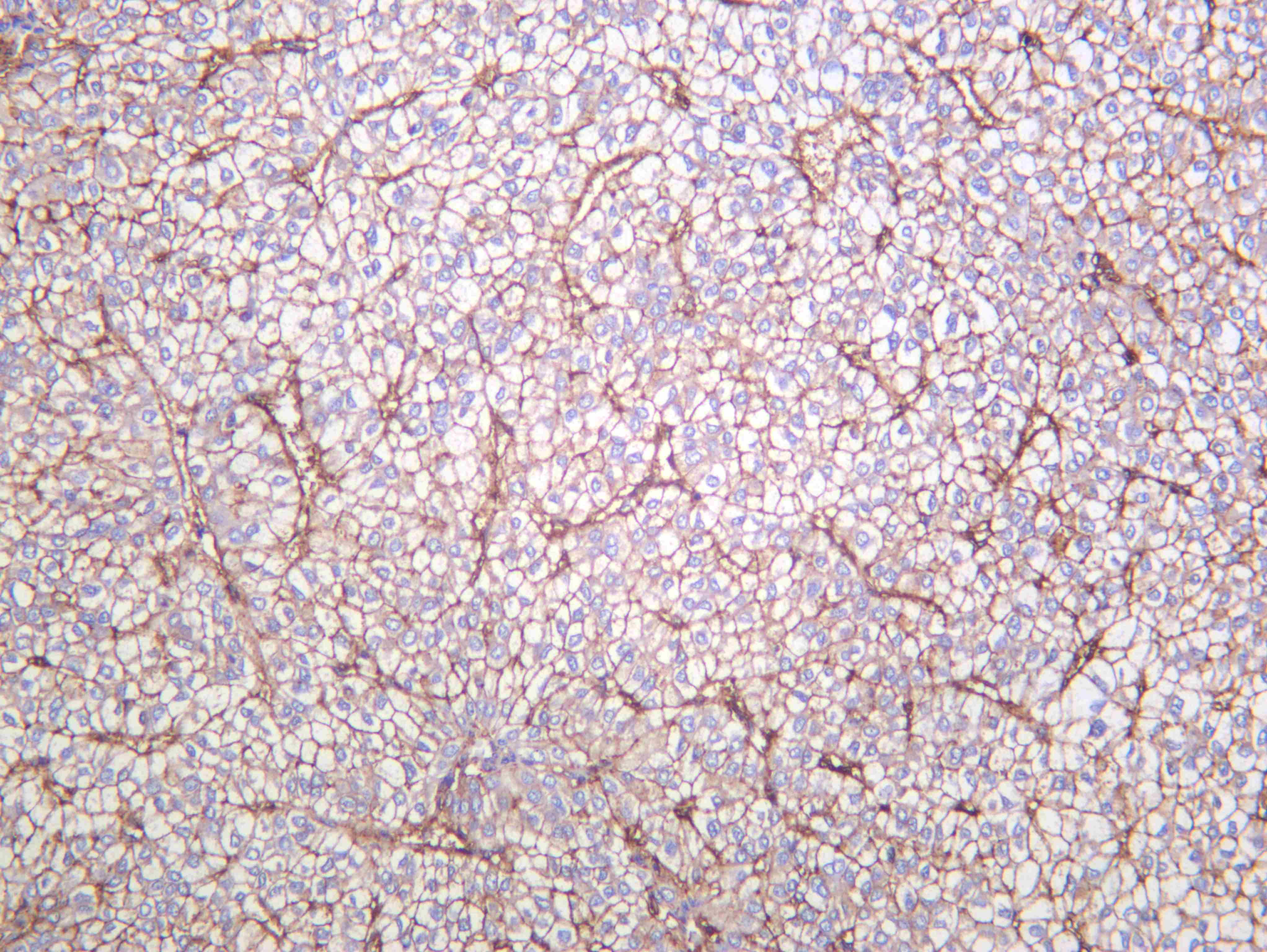
| Immunohistochemistry |

Immunohistochemical analysis of paraffin-embedded Human hepatocellular carcinoma
|
|
| |
|
|
| Storage |
Store at -20°C. Stable for one year from the date of shipment. |
| Concentration |
1mg/ml in PBS, pH 7.4, containing 0.02% sodium azide and 50% glycerol. |
| Dilutions |
IHC-P 1:2000-1:10000, WB 1:2000-1:10000, IF-P/IF-F/IF-ICC 1:200-1:1000, ELISA 1:5000-1:20000
(Optimal dilutions should be determined by the end user)
|
|
| |
|
| ITGB1;FNRB;MDF2;MSK12;Integrin beta-1;Fibronectin receptor subunit beta;VLA-4 subunit beta;CD antigen CD29 |
| |
|
|
|
|
| Size: |
50μL ¥1300 100μL ¥2300 |
|
| New Product: |
|
|
|
| 直接下单: |
|
立即下单
|
|