| Cat#: TM4765 | Source#: Mouse | Type#: Monoclonal | |
 |
| Applications: WB,IHC,IF,ELISA |
|
Reactivity: H,M,R |
| MW.(KDa): 16(Calculated);17(Observed) |
Isotype: IgG1,kappa |
|
| This gene encodes a protein that binds actin and calcium. This gene is induced by cytokines and interferon and may promote macrophage activation and growth of vascular smooth muscle cells and T-lymphocytes. Polymorphisms in this gene may be associated with systemic sclerosis. Alternative splicing results in multiple transcript variants, but the full-length and coding nature of some of these variants is not certain |
|
|
| Western Blot |

Lane 1: THP-1 Lane 2: mouse liver Lane 3: rat brain,the membrane was blotted with anti-Iba 1 (TM4765) antibody
|
| Immunohistochemistry |

Human tonsil tissue was stained with Anti-Iba 1 (TM4765) Antibody
|
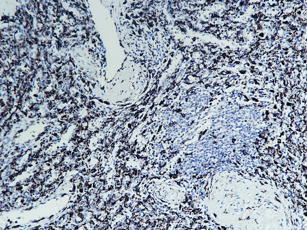
| Immunohistochemistry |

Rat brain tissue was stained with Anti-Iba 1 (TM4765) Antibody
|
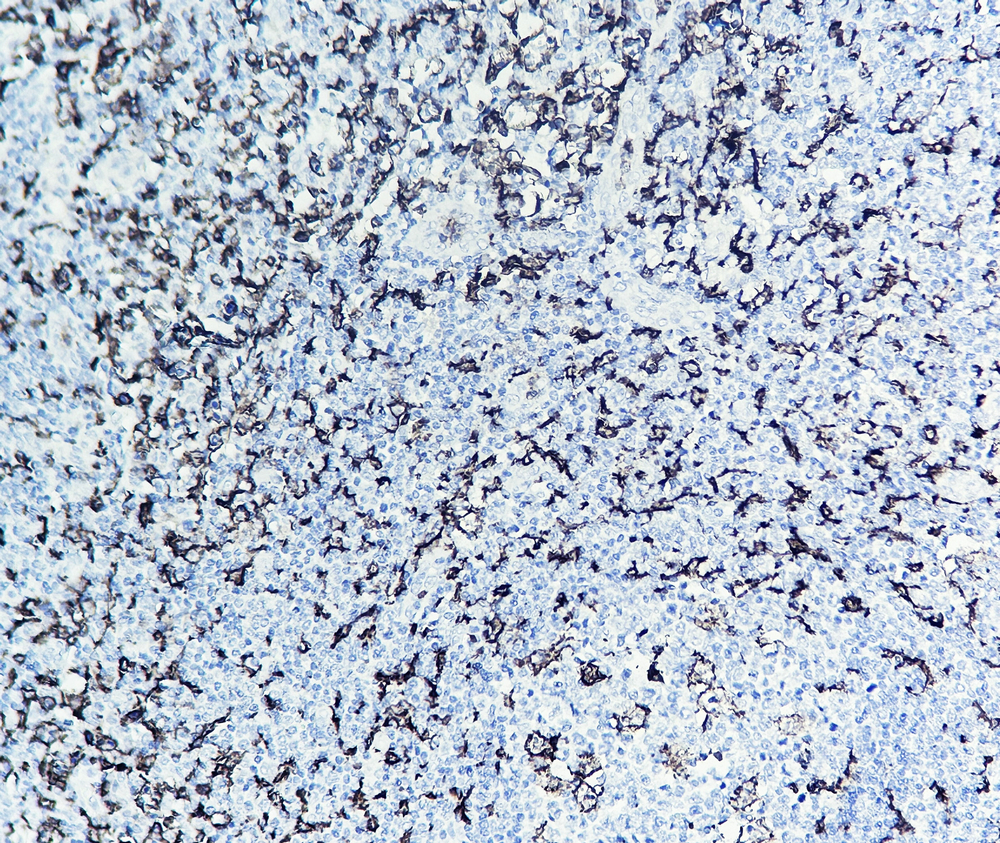
| Immunohistochemistry |

Human spleen tissue was stained with Anti-Iba 1 (TM4765) Antibody
|
| immunofluorescence |

Fluorescence multiplex immunohistochemical analysis of Human tonsil tissue.CK-pan mouse mAb green, Ki-67 rabbit mAb red, Iba 1 mouse mAb(TM4765 ) purple,CD8 a mouse mAb cyan, CD20 mouse mAb yellow,
|
|
| |
|
| Source |
Synthesized peptide derived from part region of human protein AA range: 50-147
|
| Specificity |
This antibody detects endogenous levels of Iba 1 protein.
|
| Storage |
Store at -20°C. Stable for one year from the date of shipment.
|
| Concentration |
1mg/ml in PBS, pH 7.4, containing 0.02% sodium azide and 50% glycerol.
|
| Dilutions |
WB 1:500-2,000; IHC 1:200-1,000; IF 1:100-500; ELISA 1:1,000-5,000
(Optimal dilutions should be determined by the end user)
|
|
| |
|
| AIF 1 ; AIF-1 ; Aif1 ; AIF1 protein ; AIF1_HUMAN ; Allograft inflammatory factor 1 ; Allograft inflammatory factor 1 splice variant G ; allograft inflammatory factor-1 splice variant Hara-1 ; balloon angioplasty responsive transcription ; BART 1 ; G1 ; G1 putative splice variant of allograft inflamatory factor 1 ; IBA 1 ; IBA1 ; interferon gamma responsive transcript ; Interferon responsive transcript 1 ; interferon responsive transcript factor 1 ; Ionized calcium binding adapter molecule 1 ; Ionized calcium-binding adapter molecule 1 ; ionized calcium-binding adapter molecule ; IRT 1 ; IRT1 ; Microglia response factor ; MRF1 ; Protein g1 ; |
| |
|
|
|
|
| Size: |
50μL ¥1000 100μL ¥1800 |
|
| New Product: |
|
|
|
| 直接下单: |
|
立即下单
|
|