| Cat#: TDY1123 | Source#: Rabbit | Type#: Polyclonal | |
 |
| Applications: WB |
|
Reactivity: H,M,R |
| MW.(KDa): 85 |
Isotype: IgG |
|
| Acts as a Ca2+ sensor that gates two major inward rectifying Ca2+ channels at the plasma membrane: Ca2+ release-activated Ca2+ (CRAC) channels and arachidonate-regulated Ca2+-selective (ARC) channels. |
|
|
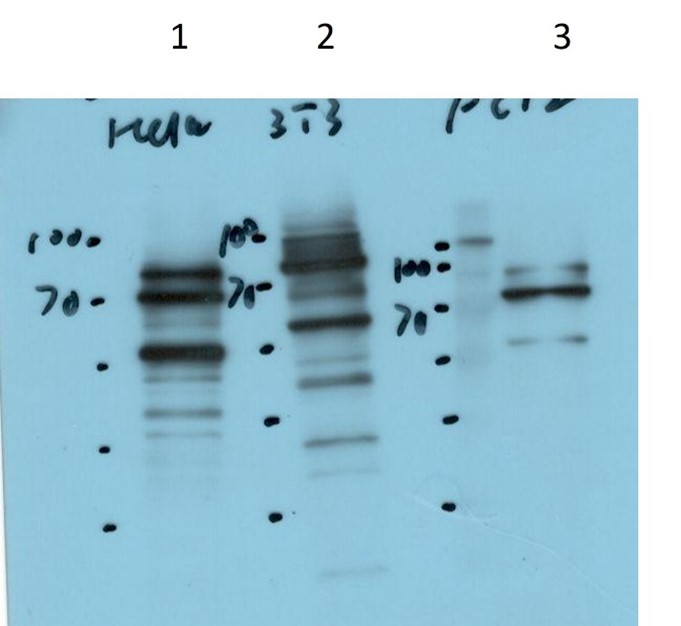
| Western Blot |

Western blot analysis of 1)293T Cell, 2) 3T3 Cell, 3) PC12 Cell Lysate using STIM1(TDY1123)Rabbit Polyclonal Antibody diluted at 1:2,000.
|
|
| |
|
| Source |
A Rabbit Polyclonal antibody is prepared by immunizing recombinant protein.
|
| Specificity |
Antibody can detects endogenous STIM1 protein.
|
| Storage |
Store at -20°C. Stable for one year from the date of shipment.
|
| Concentration |
1mg/ml in PBS, pH 7.4, containing 0.02% sodium azide and 50% glycerol.
|
| Dilutions |
WB 1:2,000-5,000;
(Optimal dilutions should be determined by the end user)
|
|
| |
|
| GOK,SIM,Stromal interaction molecule 1 |
| |
|
|
|
|
| Size: |
50μL ¥1000 100μL ¥1800 |
|
| New Product: |
|
|
|
| 直接下单: |
|
立即下单
|
|